Thank you for taking your time to participate in our research at the NL3 Lab.
To make sure you and your child have a smooth and pleasant visit, here are some tips and guidance. Depending on the research study you are involved in, a behavioral session or an imaging session usually takes about 2 hours. The study takes place in the Center for Brain, Biology and Behavior (CB3) located between gate 22 and 23 in the East stadium at University of Nebraska-Lincoln. You can drive down north on Vine street and get to the East stadium loop.
There are designated parking spots for research participants in front of the East stadium. After you park your car, please write down your car’s license number which you will need to check in with Linda who usually sits at the front desk. A research assistant will meet you and your child there and bring you to the behavioral test suite or imaging scan suite depending on your visit type. During your visit, we have snacks (gold fish or fruit snack) for your child. You and your child’s participations are totally voluntary. If you and your child decide to withdraw at any time during your visit, please let us know right away.
(a) Consent: Before everything starts, research assistant will tell you about the study and explain exactly what will happen during the study. You will be asked to sign a consent form to allow your child to participate. If your child is older than 7 years old, he/she will sign an assent form as well.
(b) If you and your child come for the behavior session, you will fill out questionnaires about your child’s health and development in suite B71D of CB3, while your child will be tested in B71K of CB3. We will share the test scores with you.
(c) If you and your child come for the imaging session, you and your child (younger than 7 years old) will first be led to the MRI simulator room. This room equipped a mock MRI scanner which is a replica of the real MRI machine without the constant powerful magnet. Your child can get comfortable with the MRI noise in this room and get familiar with the tasks which he/she will perform inside the scanner.
(d) Before going inside the actual MRI room, you will fill out MRI screening form for your child and our MRI technologist, Joanne, will go through the form and make sure your child is metal free and is safe to go inside the MRI room. You will wait at the waiting area close to the entrance of CB3. To make your child comfortable, please dress your child in comfortable clothing without any metal buttons or zippers (e.g., exercise outfit). We also provide scrubs for your child if he/she wish to wear scrubs. Depending on the specific study, the actual scanning session usually lasts around 2 hours.
(e) After the imaging session, you will get compensation for your visit and your child will get a book. Your child’s brain images will be reviewed by a neuroradiologists at University of Nebraska Medical Center (UNMC). While extremely unlikely for normal, healthy populations, if the neuroradiologists determines that the brain images contain an abnormality that warrants medical follow-up, you will get notified as soon as possible. Dr. Wang will offer you the images in digital format on a disk, as well as the initial report from the neuroradiologists.
If you have any questions or concerns, feel free to call us at 402-472-0106 or email us at nl3wanglab@gmail.com.
To Children
- You will look at pictures and answer some questions.
- You will be playing games and watching movies while we take pictures of your brain.
- Our brain camera records the activity in your brain while you are doing the tasks.
- You have to wear metal-free clothing because the brain camera doesn’t work properly if there is metal present.
- If you have any questions, you can call Dr. Wang at 402-472-0106.
- You will help us understand how brain changes when you learn to read.
- You will get a book as your reward, while your parent will get cash compensation.
Tasks involved
GO/NO GO Task: Panda is zoo keeper’s helper and helps zoo keeper to catch the other animals who got out of their cages. During this task, the participant is asked to press a button when animal other than panda appears on the screen.
Visual Rhyming Task: During this task, the participant is presented with one word at a time with picture. After two words presented on the screen, the participant needs to determine whether the two words rhyme or not. If they rhyme, the participant presses the right button (Giraffe button). If they don’t rhyme, the participant presses the left button (Penguin button). For control sessions, the participant will see two strings on the screen. If the strings match, the participant presses the right button (Giraffe button). If they don’t match, the participant presses the left button (Penguin button). In addition, the baseline condition is the cross changing color from black to red. When the color of the cross on the screen changes, the participant need to press either left or right button.
Semantic Association Task: During this task, the participant is presented with one word at a time with picture. After two words presented on the screen, the participant needs to determine whether the two words are associated with each other or not. If they are related, the participant presses the right button (Giraffe button). If they are not related, the participant presses the left button (Penguin button). For control sessions, the participant will see two strings on the screen. If the strings match, the participant presses the right button (Giraffe button). If they don’t match, the participant presses the left button (Penguin button). In addition, the baseline condition is the cross changing color from black to red. When the color of the cross on the screen changes, the participant need to press either left or right button.
What you will hear in the MRI:
Ambient Sound: This sound file contains MRI environment noise when MRI scan is not operating.
Localizer: MRI scan noise when MRI scan is operating using Localizer sequence to take pictures of the brain.
Magnetization-Prepared Rapid Gradient-Echo (MPRAGE): MRI scan noise when MRI scan is operating using MPRAGE sequence to take pictures of the brain.
Proton Density (PD)-T2: MRI scan noise when MRI scan is operating using PD-T2 sequence to take pictures of the brain.
Echo-planar Imaging (EPI): MRI scan noise when MRI scan is operating using EPI sequence to take pictures of the brain.
Diffusion Weighted Imaging (DWI): MRI scan noise when MRI scan is operating using DWI sequence to take pictures of the brain.
MRI Safety:
Magnetic Resonance Imaging (MRI) is a common medical procedure used in hospitals and clinical settings in all age groups- from newborns to the elderly. It has been used over 20 years, and is fully approved by the Federal Drug Administration (FDA). MR images are made without using any ionizing radiation, so participants are not exposed to the harmful effects of ionizing radiation. There are no known health hazards from temporary exposure to the MR environment.
Before MRI scan, the participant will be asked to fill out a screening questionnaire (UNL MRI screening form, youth version). For participant’s safety, answering the questionnaire accurately is extremely important. In particular, if the participant has any implanted medical devices, such as stents, knee or hip replacements, pacemakers, or drug pumps, notify the MRI technologist right away. Also be sure to tell the technologist if the participant has any tattoos or drug patches as these can cause skin irritation or burns during the scan. The technologist will need to make sure that these devices can safely enter the MRI environment.

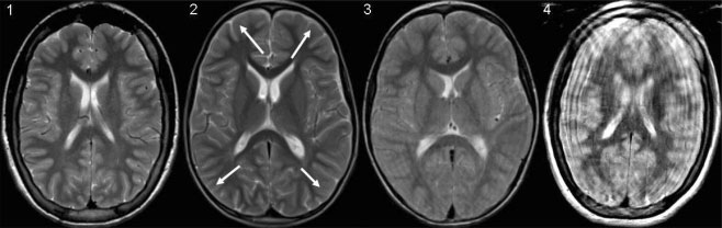
1: no motion artifacts, excellent quality, 2: little motion artifacts (arrows), good quality, 3: moderate motion artifacts, acceptable quality, and 4: excessive motion artifacts, poor quality. Source
Some participants find the inside of the MRI scanner to be uncomfortably small and may experience claustrophobia. To produce good quality images, participants must generally remain very still throughout the entire MRI procedure. Adverse events for MRI scans are very rare. Millions of MRI scans are performed in the US every year, and the FDA receives around 300 adverse event reports for MRI scanners and coils each year from manufacturers, distributors, user facilities and patients.

